close
世樺牙醫美學案例分享再添一發
案例來自不久前才去美國密西根大學
進修回國的胡瓊仁醫師
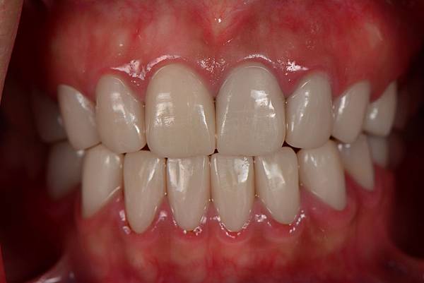
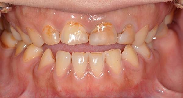
透過胡醫師👩⚕的巧手🤚大改造之後,
患者不但擁有耀眼迷人的笑容
人生從"齒"變彩色😁😁😁

---準備好了嗎?神奇的事即將發生---
登!
愣!

是不是像魔法般神奇,小編看了都讚嘆不已
世樺牙醫➡http://www.elite-implant.com/
美學案例➡https://www.elite-implant.com/implant05.php
聯絡我們➡http://line.me/ti/p/%40mku6070y
免付費專線➡0800-060-158
全站熱搜
留言列表